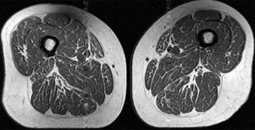
20:24:58 Yeni bir araştırma, aşırı işlenmiş gıdalar açısından zengin beslenmenin kas dokusunda yağ birikimine yol açabileceğini gösteriyor. Bu durum, görüntü olarak ince yağ damarlarıyla kaplı bir bifteği andırıyor. Ancak bu bir yemek değil; yıllık kalorisinin %87’sini ultra işlenmiş gıdalardan alan 62 yaşındaki bir kadının uyluk kasına ait MR görüntüsü… Kaliforniya Üniversitesi San Francisco’daki araştırma ekibinden Dr. Zehra Akkaya’ya göre bu kişinin beslenmesi ağırlıklı olarak paketli tahıllar, çikolatalar ve şekerli içeceklerden oluşuyordu. Kas liflerinin arasında biriken bu yağ dokusu, ciddi sağlık sorunlarının habercisi olabilir. Araştırma, özellikle diz osteoartriti riski taşıyan bireylerde ultra işlenmiş gıdaların kas kalitesi üzerindeki etkisini inceliyor. Ultra işlenmiş gıdalar; obezite, kanser, kalp hastalıkları, tip 2 diyabet ve depresyon gibi birçok kronik hastalıkla ilişkilendiriliyor. Ayrıca yaşam süresini kısaltabileceğine dair bulgular da mevcut. ABD verilerine göre yetişkinlerin günlük kalorilerinin %50’den fazlası, çocukların ise %62’si bu tür gıdalardan geliyor. Çalışmada incelenen başka bir katılımcının (61 yaş) kaslarında da yağlanma görüldü; ancak bu kişi kalorilerinin yalnızca %29’unu ultra işlenmiş gıdalardan alıyordu ve yağlanma daha sınırlıydı. Araştırmacılara göre en dikkat çekici nokta, henüz diz osteoartriti belirtisi göstermeyen bireylerde bile kas kalitesinin bozulmaya başlamış olması. Kas içine yerleşen yağ hücreleri, kas liflerinin yenilenmesini engelleyerek kasları zayıflatır. Zayıf kaslar ise dünya genelinde yüz milyonlarca insanı etkileyen diz osteoartritinin önemli nedenlerinden biridir. Bu hastalık artık sadece yaşlılarda değil, daha genç yaş gruplarında da sık görülüyor; bunun başlıca nedenlerinden biri artan obezite. Uyluk kasları diz stabilitesi için kritik öneme sahiptir. Bu kaslardaki güç kaybı, özellikle fazla kilolu bireylerde ekleme binen yükü artırır. Uzmanlara göre kas içi yağlanma genellikle sadece tek bir bölgeyle sınırlı değildir; vücudun diğer kaslarında da benzer değişiklikler görülebilir. Bu durum, kasların genel olarak zayıfladığını ve ileride sağlık sorunları riskinin arttığını gösterir. Radiology dergisinde yayımlanan çalışma, diz osteoartriti belirtisi olmayan 615 kişinin MR görüntülerini analiz etti. Ortalama yaş 60, ortalama vücut kitle indeksi ise 27 idi. Sonuçlar net: Araştırma doğrudan nedensellik kanıtlamasa da güçlü bir ilişki ortaya koyuyor. İyi haber ise şu: egzersiz ve sağlıklı beslenmeyle kas kalitesi yeniden iyileştirilebilir. Uzmanlar, eklemleri korumak için düşük etkili egzersizleri öneriyor. Özellikle: Eliptik bisiklet Kuvvet antrenmanı Bacak kaslarını hedefleyen egzersizler Beslenmede ise: Evde hazırlanmış, doğal gıdalar tercih edilmeli Yeterli protein alınmalı İşlenmiş atıştırmalıklar ve şekerli içecekler azaltılmalı Pratik öneriler: Etiket okuyun, daha az işlenmiş ürünleri seçin. Tam tahıllar, sebzeler ve baklagillere ağırlık verin. Şekerli içecekler yerine su tüketin. Fast-food yerine daha az işlenmiş seçenekler sunan yerleri tercih edin.
Kas İçi Yağlanma ile Beslenme Arasındaki Bağ...
Tabaktaki Seçim Kasını Belirliyor

Yağlı kaslar neden önemli?
Araştırma ne söylüyor?
Bir kişi ne kadar fazla ultra işlenmiş gıda tüketiyorsa, toplam kalori miktarından bağımsız olarak kas içi yağlanma o kadar artıyor.Ne yapılmalı?
Bu içeriği beğendiyseniz lütfen çevrenizle paylaşınız…
